精准微波热消融,肺结节患者的新希望!
作者:郭松兴/编辑:杜佩聪   日期:2021-09-16 10:13:47   点击数:

近日,在我院接受“肺结节微波消融”手术治疗的患者康复出院了。


9月11日下午,我院邀请全国著名肿瘤微波消融专家叶欣教授,在与医院放射科主任、主任医师汪小舟的密切配合下,带领介入团队为5位肺结节患者进行“微波消融治疗”,术后恢复顺利,复查胸部CT提示“微波消融范围满意”,均达到康复出院标准。





此次手术的成功开展为当地更多肺部疾病患者带来了新的希望。


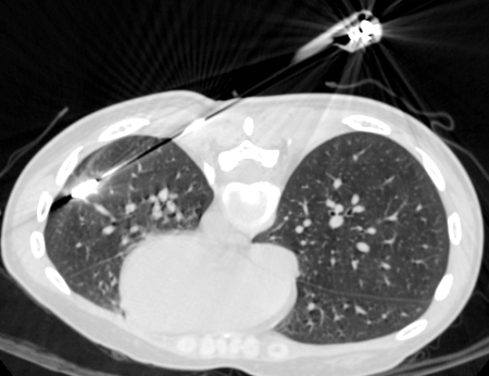
其中一名为30多岁的女性患者,在体检时发现左肺有一直径约0.8cm大小的磨玻璃结节,经介绍来到我院介入治疗中心求诊,汪小舟详细询问其病史,发现与患者8月前检查到的肺结节大小相比稍有增大,且不能排除早期肺癌。





而患者不愿意接受外科手术切除,也不愿意长期随访观察,经过医患共同决策(Shared decision making,SDM),于手术当日,在CT引导下完成了“经皮穿刺”肺活检术及微波消融术,手术历时120秒,影像显示左肺0.8cm结节损毁,达到手术根治效果。


汪小舟介绍道,该患者病灶位置深,微波消融难度大,经过准确的定位,整个手术过程非常顺利,从准备到手术结束,仅耗时半小时,术中、术后病人几乎无任何痛苦。对于患者来说,“肺结节微波消融手术”无疑是一个新的治疗途径。



微波消融天线插入肺结节



据了解,微波消融术是针对某一脏器中特定的一个或多个肿瘤或肿瘤样病灶,利用热产生的生物学效应直接导致肿瘤细胞发生不可逆损伤或凝固性坏死的一种原位灭活技术。其原理与‘微波炉’类似,通过微波的热效应使肺脏的局部肿瘤组织在几分钟内达到70℃-120℃以上的温度,引起肿瘤组织发生凝固性坏死,而周围组织极少或不受损伤,最终达到“烧死”肿瘤细胞的目的。


手术一般在局麻或清醒镇静下进行,以肿瘤为中心最大限度地消融靶肿瘤及周围0.5-1 cm的正常组织,又最大限度地保护正常肺组织。具有安全、并发症少、适形、效果可靠、超级微创、患者恢复快、可重复进行等优点,现已成为继手术、和药物治疗之后的又一项重要治疗手段。


参考文献:

1.LATEST GLOBAL CANCER DATA: CANCER BURDEN RISES TO 19.3 MILLION NEW CASES AND 10.0 MILLION CANCER DEATHS IN 2020.

https://www.iarc.fr/faq/latest-global-cancer-data2020-qa/ [Last accessed on 2021 Apr 18]      

2. National Lung Screening Trial Research Team, Aberle DR, Adams AM, et al. Reduced lung-cancer mortality with low-dose computed tomographic screening. N Engl J Med, 2011, 365(5): 395-409. doi: 10.1056/NEJMoa1102873

3 .He YT, Zhang YC, Shi GF, et al. Risk factors for pulmonary nodules in North China: A prospective cohort study. Lung Cancer, 2018, 120: 122-129. doi: 10.1016/j.lungcan.2018.03.021              

4.Yang W, Qian F, Teng J, et al. Community-based lung cancer screening with low-dose CT in China: Results of the baseline screening. Lung Cancer, 2018, 117: 20-26. doi: 10.1016/j.